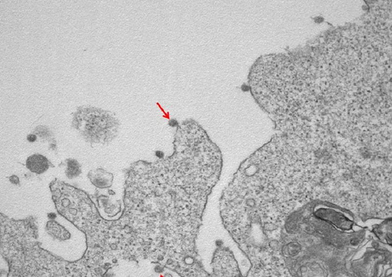
Tashmë “korona” ka një “fytyrë”. Kanë dalë imazhet e para bardhezi të virusit SarsCoV2 i izoluar në Lombardi në spitalin “Sacco” në Milano. Imazhet e mikrografisë elektronike tregojnë grimcat virale të bashkangjitura në membranat qelizore dhe kurorën e tyre tipike të glikoproteinave sipërfaqësore.
Në një zmadhim prej 30000X, vërehen grimcat virale të SarsCov2 (të treguar nga shigjeta), të bashkangjitura në membranat në sipërfaqe dhe qelizat e brendshme, të përdorura për izolim.
Kombinimi i dy imazheve të tjera në zmadhime të ndryshme (50000X dhe 140000X) tregon grimcat virale me ultrastrukturën tipike të karakterizuar nga kurora e glikoproteinave sipërfaqësore.








































